新年伊始,新桥口腔正畸专科佳音频传!继荣膺隐形正畸民族品牌时代天使年度案例量西部地区五连冠后,又有医生夺得2024年度个人荣誉! 近日,新桥口腔成都高新院区正畸医生王亚楠获得时代天使优秀病例2024年度入……
新年伊始,新桥口腔正畸专科佳音频传!继荣膺隐形正畸民族品牌——时代天使年度案例量西部地区五连冠后,又有医生夺得2024年度个人荣誉!

近日,新桥口腔成都高新院区正畸医生王亚楠获得“时代天使优秀病例2024年度入选病例数TOP10”荣誉,同时凭借《1例青少年反颌合并埋伏阻生尖牙牵引的正畸治疗》病例作品斩获“时代天使优秀病例2024年度十佳精英病例”。

新桥口腔成都高新院区王亚楠医生
据主办方介绍,本次年度病例评选共收到来自全球的参评病例近3000例,首先评出优秀病例入选2024优秀病例库,再经专业评审委员会结合治疗效果和六大要素进行综合评分,评选出年度十佳精英病例。

据王亚楠医生介绍,获奖的是一个比较复杂的青少年隐形矫治病例。“整个治疗周期长达三年,时间长、难度大,这个病例能够顺利完成,和我们口外医生的高超技艺,和小患者及家长的高度配合分不开。很高兴能获得评审专家的肯定,我会再接再厉!”
一口逆天 多生牙阻生牙并存
是什么样的病例,能在全球众多优秀病例中脱颖而出?
“我给这个病例取了一个可爱的名字,叫‘拯救迷路的小虎牙’。”据王亚楠医生介绍,这是一个典型的集多种问题于一身的青少年矫治病例,有替牙障碍、牙列不齐,还伴有个别牙反颌以及先天性多生牙的问题。除了技术难度,患者作为未成年人能否严格遵医嘱佩戴隐形牙套,也是医生需要考虑的问题。
“孩子当时11岁,家长发现牙齿长得比较乱,就趁放暑假带过来看了。经过检查,发现他的问题并非单纯的牙列不齐,还有一颗恒牙无法自行萌出,也就是存在替牙障碍,需要做牵引治疗,因此整个治疗周期相对较长,从2021年8月开始到2024年9月结束。”



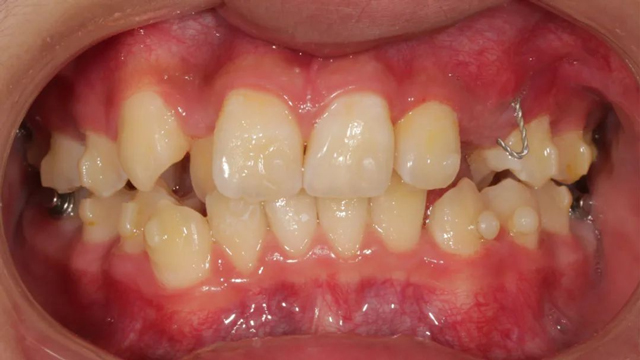
2021年8月(矫正前口内照)
这位小患者的口腔问题包括:牙列不齐,个别门牙反颌,左上尖牙完全埋伏阻生,另外,CBCT显示右上门牙牙根腭侧内还有一颗多生牙。
简单地说,牙齿不整齐只是小问题,他更大的问题是:在不该长牙的地方多长了一颗牙,而乳尖牙滞留,早该替换出来的尖牙长不出来,这两颗牙的问题如果不及时干预治疗,会带来很多长期的口腔问题。
据了解,位于腭侧的多生牙紧挨着已经替换完的1号恒牙(门牙),如不拔除会影响整个牙列的整齐度,后期也可能损伤1号牙的牙根,导致这颗牙齿松动甚至脱落。

精妙施术 千日之功牵出小虎牙
“这个病例属于相对复杂病例,主要难度是埋伏阻生尖牙的牵引,还有多生牙拔牙、阻生牙的开窗这些外科治疗,都会影响到治疗结果。”
谈到具体的治疗方案,王亚楠医生表示,整体的治疗步骤是先拔除多生牙,一周后拆线,拆线当天拔除滞留乳牙,并对埋伏阻生尖牙行开窗术,通过粘贴牵引扣进行牵引,一周后开始佩戴隐形牙套。


据介绍,这个病例最复杂之处就是阻生牙的牵引。从矫正开始,医生以目标为向导制定矫正步骤,利用隐形牙套的优势,以及牙根可视化引导牙齿走向目标位,过程中密切关注阻生尖牙的方向及萌出情况,治疗过程中不断根据具体情况进行调整牵引方向和力的大小,牵引治疗几乎贯穿了矫正的全过程。
“由于这是一颗尖牙,外形比较圆润,并且是口内牙根最长的牙齿,矫治器力不太容易表达,所以移动时会更难一些,从牙齿出龈到建颌,每一步都离不开我们精心的设计。”

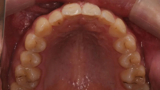
该病例的治疗周期长达三年,跨替牙期和年轻恒牙期。治疗结束时,小患者收获了一口整齐美观的牙齿,也从满脸稚气的孩童长成了青葱少年。
硬核团队 多学科协作创王牌专科
“这个病例能取得最终的效果和专家的肯定,真的不是我一个人能做到的,是团队协作,是多学科配合的结果。特别要感谢为患者拔除多生牙的徐会医生,还有做阻生牙开窗手术的廖鹏医生,是他们精湛的技术为后续的矫正治疗创造了条件。”
王亚楠医生认为,一个高质量的正畸病例并不是正畸医生一个人能完成的,除了常见的拔牙,患者可能还需要接受补牙、牙周等治疗,正畸专科需要有优秀的口外、口内医生的配合。
谈到拔牙对正畸治疗的影响,王亚楠医生介绍说,拔牙是很多正畸患者经历的第一项治疗,如果舒适度比较高,后续的配合度也更高。临床工作中她遇到过不少因为惧怕拔牙,只接受不拔牙正畸方案的患者,特别是一些青少年正畸患者,本人和家长对拔牙常常存在抵触心理,这可能导致效果不佳或容易反弹。
此外,拔牙还会直接影响到矫正效果。“拔牙时如果断根或者牙槽骨有损伤,创口过大,会增加矫治时牙齿移动的难度,拔牙后软组织的形态也会影响最终的美学效果,包括牙冠和牙根的比例、牙龈的形态,专业上称为红白美学。”
“这位小朋友的拔牙和开窗手术都位于前牙区,对美观的要求更高,最终的矫正效果非常自然。”


2024年9月(矫正结束后口内照)
“隐形矫正一般2-3月复诊一次,从节约时间来说很受家长青睐,但前提是小朋友要有很好的依从性,这是获得满意效果的前提。案例中的这个小朋友和家长与医生的配合度非常高,这也是我们能治疗成功的必要因素。”
获奖当天,王亚楠医生又接诊了一位同样是11岁的小女孩。在和家长沟通完治疗方案后,她问小女孩想不想做矫正,能否按医生的要求佩戴牙套,平时刷牙认不认真等等,在得到肯定的回答后,让小女孩自己在治疗方案知情同意书上填写姓名等信息。

“儿童和青少年正畸治疗,医生只和家长沟通是不够的,同时也要尊重小朋友的意见。在和家长就治疗方案、治疗周期、复诊时间及需要配合的事项上达成一致后,还要听听小朋友的想法,了解他们对治疗有无担忧和顾虑,取得他们的信任和配合。”
2024年,新桥口腔数字化正畸中心累计完成逾3万例正畸案例,案例数量领跑西南。
今年以来,新桥口腔在正畸治疗领域喜讯不断,已获得“2024年度隐适美案例量四川第一”、“2024年度时代天使案例量中国西部第一”等多项荣誉。2025年2月9日,新桥口腔获评“时代天使早期矫正示范基地”。

新桥口腔作为西部地区较早开展隐形正畸技术的专科机构之一,自建院以来,便开设有数字化正畸中心。中心拥有30余名正畸医生,其学术背景以华西口腔医学院等国内知名口腔专业高等院校为主,至今已有20多年的历史。中心率先在本地成立数字化特检科,借助包括口腔CBCT、3D数码口扫设备在内的数字化影像分析平台,着力打造一站式服务体系,可全面开展各类成人、儿童正畸治疗。新桥口腔独享西部地区“隐形正畸冠军诊室”荣誉称号,在接诊人次、成功率及满意度等方面均领跑西部口腔专科连锁领域。
